Levantamento inédito feito pela SBAVC mostra o cenário atualizado sobre o tratamento de Trombectomia Mecânica no Brasil.
O Problema
O tempo no Acidente Vascular Cerebral (AVC) não é apenas uma métrica clínica. A frase de que a cada minuto, se perdem 2 milhões de neurônios, que passou a ser um mantra na Neurologia, se refere à dependência do tempo no atendimento ao AVC isquêmico.
No nosso país, além do fator tempo de atendimento, onde a pessoa mora pode, junto com a rapidez ou lentidão do atendimento, ser um divisor de águas entre a independência e o isolamento, entre a vida e a existência com gravíssimas sequelas.
Quando falamos de AVC isquêmico por Oclusão de Grandes Vasos (LVO), o tipo mais grave e mais letal de AVC isquêmico que existe, os dados são contundentes: A Trombectomia Mecânica (TM) é o padrão-ouro, das terapias mais eficazes em toda a Medicina, capaz de reduzir drasticamente as sequelas neurológicas de um AVC deste tipo. No entanto, no cenário do SUS em 2026, essa tecnologia ainda enfrenta o abismo da desigualdade geográfica e estrutural.

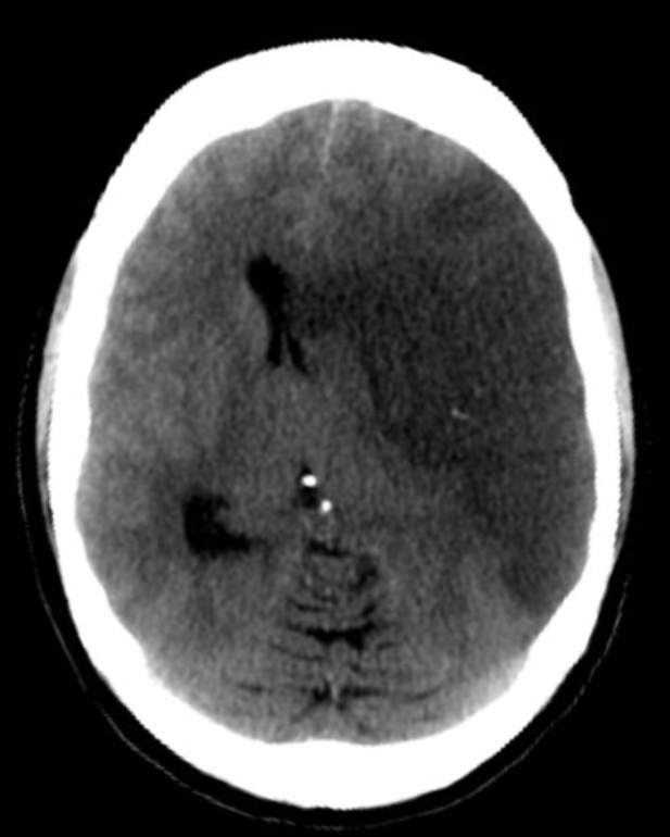
Tomografia de crânio com a área escura extensa de AVC isquêmico por oclusão de grande vaso (lado direito da figura), que não recebeu tratamento com trombectomia.
O Mapa da Desigualdade nas Áreas Desassistidas
A trombectomia consiste na retirada do coágulo da artéria que se fecha por cataterismo, quando ocorre este AVC isquêmico por OGV. Só pode ser feita nas primeiras horas do AVC.
Apesar da incorporação da Trombectomia na tabela do SUS ter ocorrido desde novembro de 2023, a habilitação progressiva de novos centros tem sido lenta, e o Brasil ainda vive uma “loteria do CEP”.
Se o AVC ocorre a poucos quilômetros de um centro de referência habilitado e que funcione — como os que lideram estatísticas no Espírito Santo, Rio Grande do Sul ou interior de São Paulo — as chances de sobrevivência funcional são altas.
No entanto, nas regiões do Norte, vários estados do Nordeste, Centro-Oeste, todo o estado de Minas Gerais e do Rio de Janeiro, e ainda na região metropolitana de São Paulo, o diagnóstico de um LVO pode ser, muitas vezes, uma sentença definitiva de morte ou de incapacidade.
A ausência de redes de neurointervenção 24/7 e a carência de logística de transporte intersserviços (como o SAMU) criam desertos assistenciais, onde a tecnologia de ponta é apenas um conceito teórico.
Estudos em AVC e o tratamento de trombectomia estimam que a proporção ideal de hospitais com este tratamento e o número de habitantes é de um centro para cada 1,5-2 milhões de habitantes na região.
Ter acesso a este importante tratamento? Nestas regiões brasileiras sem cobertura adequada (vide tabelas a seguir), apenas quem paga por planos de saúde privados…
Os usuários do SUS dependem, literalmente, do CEP onde moram…


Esforço Concentrado
Para que a Trombectomia deixe de ser um privilégio de poucos e se torne um direito de todos, é urgente uma mobilização coordenada em três frentes:
- Esfera Federal: Ampliação do financiamento, aumento de custeio e agilidade na habilitação de novos centros, garantindo que o repasse de recursos acompanhe o alto custo dos dispositivos de aspiração e stent-retrievers.
- Esfera Estadual: Estruturação de Redes de Atenção às Urgências que funcionem, de verdade! Criar fluxos de regulação “porta-a-porta”, nos quais hospitais primários ou componentes pré-hospitalares identifiquem o AVC por LVO e transfiram o paciente imediatamente para o centro de neurointervenção. E é necessária a conscientização do ente federativo estadual para cofinanciar este importante tratamento, como ocorre em alguns estados brasileiros. É necessário abrir as portas das emergências de todo o país para estes casos, os AVC graves… E não fechá-las, tornando-as “reguladas”, como muitos hospitais estão fazendo.
- Esfera Municipal e Profissional: Treinamento massivo de equipes de emergência, cooperação do SAMU, criação e ativação do “Código AVC” e a conscientização da população sobre os sinais da doença. Apoio aos hospitais asssistenciais, na formação de equipes de cobertura e escalas de neurointervenção.
O sucesso da Trombectomia Mecânica no SUS não será medido apenas pelo número de procedimentos realizados nos grandes centros, mas pela capacidade do sistema de oferecer essa chance ao brasileiro em todas as suas regiões.
Não podemos aceitar que a tecnologia que devolve o movimento, a fala e a vida a um ser humano seja limitada pela distância ou pelo seu endereço…
Tem coisas que são adquiridas com tempo, com paciência. Que podem esperar.
A tragédia que está acontecendo diante dos nossos olhos todos os dias… Não pode.
Este tipo de AVC não pode esperar a burocracia, nem a geografia.
Precisamos agir!
*******************************************
Levantamento realizado pela Sociedade Brasileira de AVC, entre 01/03/2026 e 02/04/2026, com acesso direto via dados do DATASUS (TabNET), e in loco, nos hospitais referências que fazem o tratamento endovascular para o AVCi agudo por oclusão de grande vaso, pelo SUS.
Autores do levantamento: Maramélia Miranda (SP), Adriana Conforto (SP), João Brainer (SP), Leticia Januzi (AL), Rebeca Teixeira (AL), Antonio de Matos (PA), Francisco Dias (SC), Ilana Werneck (MG), Frederico Alves (SP), João Filipe de Oliveira (SC), Marco Tulio Pedatella (GO), Rafaela Braga (RJ), Ana Dolores Nascimento (PE), Viviane Zetola (PR), Sheila Martins (RS).